Intelligent Healthcare in CT imaging - Matthias Prokop

Canon Medical Systems

777 Views 0

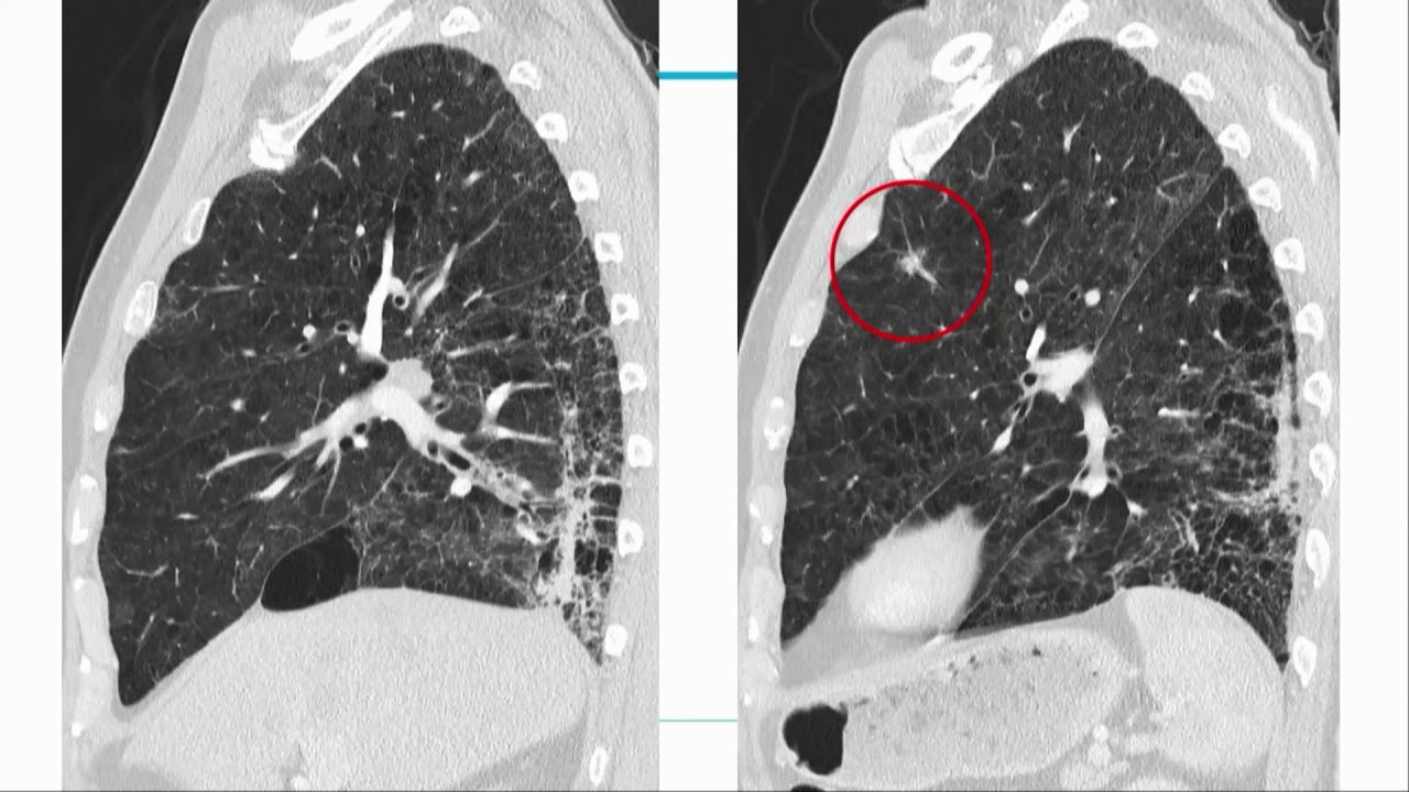
What are the latest advancements in new technologies in CT and how is artificial intelligence supporting the clinical practice? Presented by Professor Matthias Prokop, MD, PhD, of the Radboudumc University Hospital, at one of the biggest radiology departments in Europe, learn about how CT technology is evolving thanks to the implementation of AI to better support clinical decision making for improved patient care.

Canon Medical offers a full range of diagnostic medical imaging solutions including CT, MR, X-Ray, Ultrasound and Healthcare Informatics across the globe.
In line with our Made for Life philosophy, patients are at the heart of everything we do.
Our mission is to provide medical professionals with solutions that support their efforts in contributing to the health and well being of patients worldwide.
Our goal is to deliver optimum health opportunities for patients through uncompromised performance, comfort and safety features.

Channel link: https://www.youtube.com/channel/UCIhADTRbjgRGZyMMXHPp_uw

Connect with us at:
Facebook: https://www.facebook.com/CanonMedical
Twitter: https://twitter.com/CanonMedical
Linkedin: https://www.linkedin.com/company/canon-medical-systems-corporation

Related Videos